Mon chien a une maladie mitrale, combien de temps peut-il vivre ?
La maladie myxomateuse des valves mitrales touche pratiquement 100% des chiens de petite taille, rarement les chiens de grande taille. C’est une maladie héréditaire qui va se développer très lentement. Le premier signe de cette maladie sera un souffle à l’auscultation (petit bruit de frottement) lors d’une visite vétérinaire, rarement avant l’âge de 3 ans. Pendant des années, les chiens porteurs de la maladie ne vont montrer aucun symptôme. A un certain moment, le propriétaire va remarquer de l’essoufflement, une fatigue après la balade habituelle, de la toux, ou un malaise. Lorsque ces symptômes sont observés, la maladie est déjà bien avancée : la durée de vie se situe alors autour des 1 et 2 ans. Si le chien n’avait pris aucun traitement préventif auparavant, elle peut se réduire davantage.
Dépistons la maladie!
L’intérêt de dépister la maladie pendant la phase asymptomatique (sans symptôme) est précisément celui de retarder l’apparition des symptômes cliniques, outre l’importance de ce dépistage pour les éleveurs.
Pour cela, différentes classifications ont vu le jour afin de répartir les chiens porteurs dans différentes catégories, selon des critères échocardiographiques strictes. Chaque catégorie va décrire une étape de la maladie, et peut impliquer un traitement médical et des mesures à prendre dans la vie de tous les jours. Un pronostic peut également être proposé, il se basera sur l’examen cardiaque (l’échocardiographie), mais également sur la race, l’âge, le sexe, et d’éventuels autres facteurs aggravants (maladie rénale, diabète, hypertension..).
La classification proposée par le collège des vétérinaires cardiologues (Fig. 1) est la suivante :
Stade A
Il existe une prédisposition de race (Cavalier King Charles, Chihuahua et tous les petites races en général !)
Stade B1
Les signes de la maladie mitrale sont visibles à l’échocardiographie, mais n’engendre aucun remodelage du cœur (seules les valves sont modifiées)
Stade B2
Les modifications des valves mitrales sont visibles à l’échocardiographie ET des signes de remodelage du cœur sont présents. Aucun symptôme clinique n’est encore présent
Stade C
Les modifications des valves mitrales sont visibles à l’échocardiographie, les signes de remodelage du cœur sont présents, des signes d’insuffisance cardiaque sont présents (essoufflement, toux..).
Stade D
Insuffisance cardiaque sévère, malgré le traitement cardiaque.
N’attends pas… Investigue le souffle cardiaque dès les premiers stades !
La durée de chaque stade est influencée par la race, l’âge, le sexe, la conformation de la valve mitrale (très abîmée ou non), et les maladies concomitantes. En règle générale, le stade B1 dure plusieurs années et a un pronostic très favorable (tant que le chien reste dans ce stade, il a peu de chance de décéder de sa maladie cardiaque). En revanche, le stade B2 est un stade très hétérogène où l’on retrouve des individus qui évoluent rapidement vers l’insuffisance cardiaque, et d’autres qui restent stables pendant plus longtemps. Récemment, un groupe de cardiologues s’est spécifiquement intéressé à ce stade B2, et a proposé une ultérieure sous-classification à l’aide d’un système de point appelé le MINE Score (Mitral INsufficiency Echocardiographic Score).
Le MINE score est une classification échographique de la gravité de la maladie mitrale, facile à utiliser pour les cardiologues, capable de stratifier le risque de mortalité cardiaque chez les patients asymptomatiques.
Stratification du risque de développer une insuffisance cardiaque chez les chiens asymptomatiques (MINE SCORE):
Risk Stratification Using Mitral Insufficiency Echocardiographic Score 2 in Dogs With Preclinical Mitral Valve Disease. Vezzosi T., J Vet Intern Med. 2025
Traiter la maladie mitrale au bon moment !
De nombreuses études ont permis de constater que seuls les stades B2, C et D nécessitent un traitement cardiaque. Dès le stade B2, même si le chien ne présente aucun symptôme, il est important de commencer à traiter. En effet, en 2016, une grande étude impliquant de nombreux centres hospitaliers vétérinaires (l’étude EPIC ) a montré des preuves convaincantes du bénéfice d’un traitement AVANT l’apparition de l’insuffisance cardiaque, chez les chiens classés en stade B2. Les chiens recevant du Pimobendan ont mis en moyenne 462 jours supplémentaires, soit environ 15 mois, avant de développer des signes d’insuffisance cardiaque.
A partir du stade C, lorsque les chiens présentent des symptômes, le traitement doit être étoffé avec des diurétiques et des vasodilatateurs. Chaque animal est différent et la posologie des diurétiques est très variable, elle doit être adaptée en fonction de l’examen cardiaque, des valeurs sanguines rénales, de la fréquence respiratoire du chien au repos, de la routine de vie du chien. Un suivi rapproché avec le cardiologue permet d’adapter le traitement au plus près des besoins du patient.
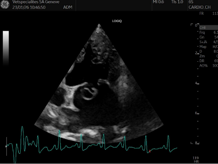
Différents stades de maladie myxomateuse mitrale ( Photo 1 : valve mitrale normale ; Photo 2 : prolapsus modéré, Photo 3 : prolapsus sévère)
Si votre chien présente un souffle à l’auscultation lors d’une visite de routine chez votre vétérinaire, n’hésitez pas, appelez notre service de cardiologie pour un dépistage !
Dr Delphine Brizard
Certificate in Advanced Veterinary Medicine- Cardiology
Certificate in Arrhythmology and electrophysiology

